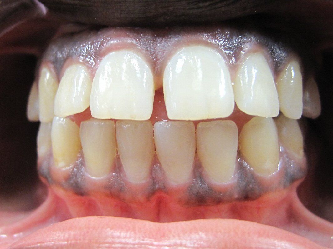
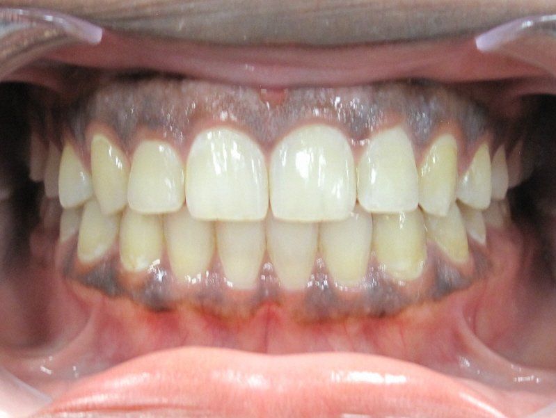
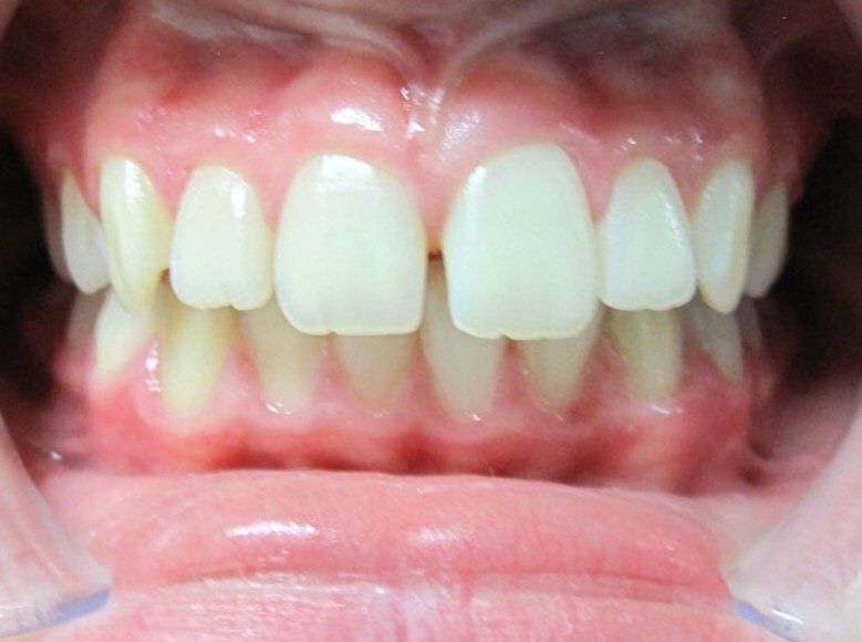
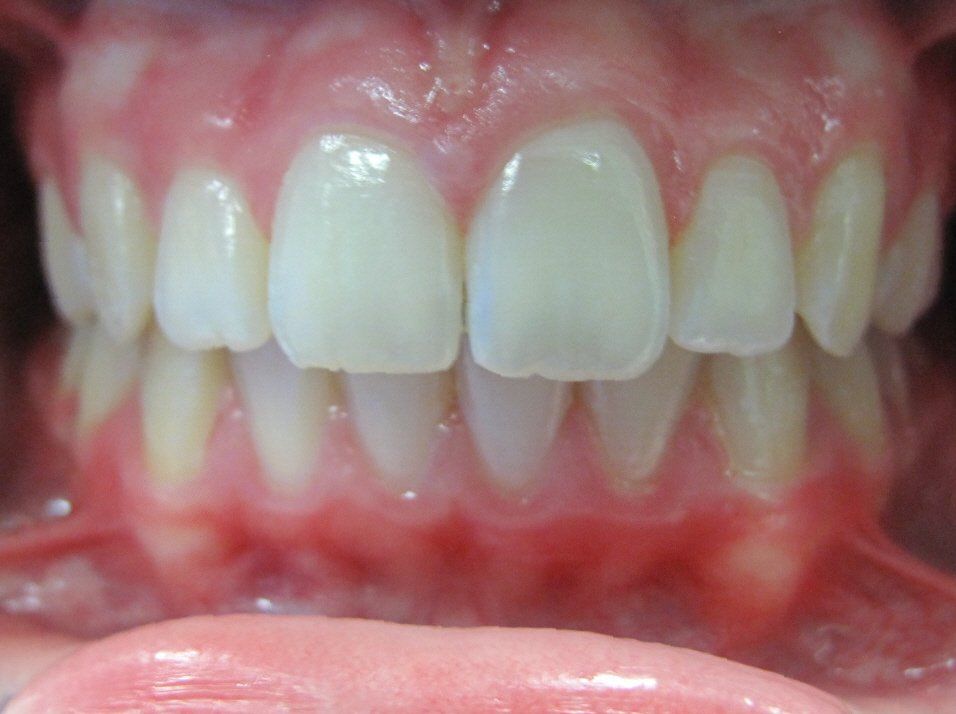
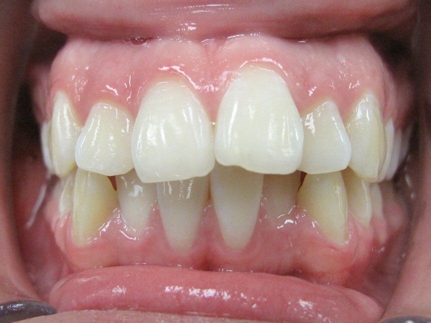
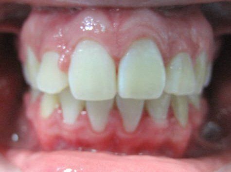
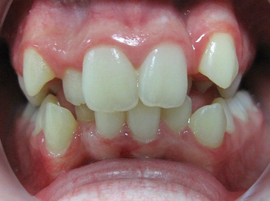
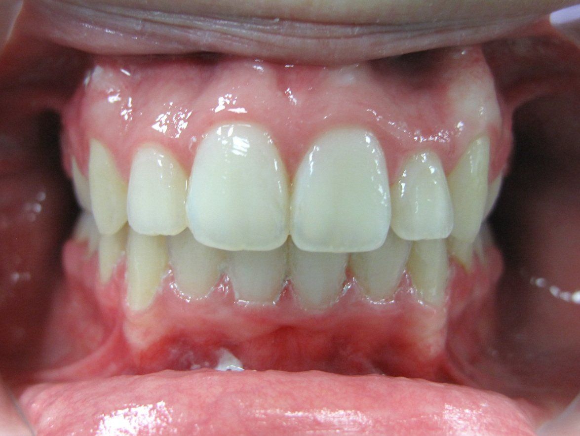
View Our Smile Gallery
quality orthodontic services to residents across San Antonio; Leon Valley; Helotes, TX and the surrounding areas. From traditional braces to aligner treatment, we have the right solution for your dental needs and budget. Check out the following section to see some before and after photos. Contact us to schedule a consultation for pediatric braces or adult orthodontic services!









